Photos of actual patients

Case 1

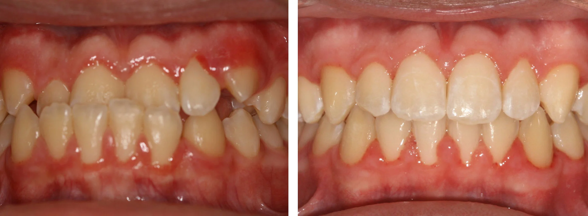
Case 2


case2.jpg

Case 3

Case 4

case3_after_rt.jpg

case4_before.JPG

Case 5

Case 6

case6_before.JPG